به گزارش اکوبورس به نقل از ایسنا،دکتر مهشید ناصحی به بهانه روز جهانی سل گفت: روز جهانی سل در ۲۴ مارس سال ۲۰۲۰ برگزار شد و شعار آن «زمان آن رسیده است که به بیماری سل خاتمه دهیم» بود. در ایران نیز مانند سال قبل شعار «همپیمان تا پایان سل» را در نظر گرفته ایم. البته در ذیل این شعار موارد مهمی را در دستورکار خود قرار دادهایم که مواردی مانند "پایان دادن به باورهای ذهنی اشتباه در مورد سل در جامعه"، "بر اثرات منفی پاندمی کووید۱۹ در دستآوردهای برنامه کشوری کنترل سل پایان دهیم" و "زمان آن فرا رسیده که علاوه بر بیماری سل فعال، تلاش برای اجرای نظاممند و غربالگری و درمان سل نهفته در گروههای پرخطر به عنوان رکن اصلی برنامه کنترل سل درنظر گرفته شود" را شامل می شود.
میکروب سل چگونه بیماریزایی میکند؟
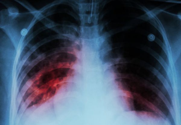
وی افزود: بیماری سل به وسیله یک باکتری ایجاد میشود؛ این باکتری به غیر از مو و ناخن که میتوان گفت بافت زنده نیستند، هر بافت زندهای در بدن را درگیر میکند و با توجه به محل و بافت درگیر شده علائم نیز طیف گستردهای خواهند داشت. از آنجایی که میکروب سل اکسیژن دوست است در ۸۰ تا ۸۵ درصد موارد ریهها را درگیر میکند در واقع شکل شایع بیماری سل، ریوی است. بنابراین شایعترین علائمی که برای بیماری وجود دارد، علائم تنفسی است؛ یعنی در سل ریوی شایعترین علامت سرفه طولانی مدت است. معنای این واژه به این صورت است که فرد حداقل دو هفته سرفه میکند. این سرفه هم میتواند با خلط همراه باشد و هم با خلط همراه نباشد.
رئیس اداره کنترل سل و جذام مرکز مدیریت بیماریهای واگیر وزارت بهداشت، ادامه داد: در شرایطی که مدت زیادی از آغاز بیماری گذشته باشد و بیماری پیشرفته شده باشد ممکن اسن سرفهها با خلط خونی همراه باشد. یکی از باورهای اشتباه در ذهن مردم این است که سرفههای مریض مسلول الزاما با بالا آوردن خون همراه است؛ اما این حالت تنها زمانی رخ میدهد که بیماری خیلی دیر تشخیص داده شود. بیشتر بیماران ما علامت سرفه با خلط خونی را در زمان تشخیص ندارند.
وی درباره سایر علائم ابتلا به سل، تصریح کرد: سرفه با شرایط ذکر شده که شاه علامت ابتلا به سل است میتواند همراه با تب، بیاشتهایی، کاهش وزن و حتی در موارد پیشرفته تنگی نفس از علائم ابتلا به سل باشد.
شباهتهای سل با کووید۱۹
ناصحی با اشاره به شباهت علائم بیماری سل به کووید۱۹، اظهار کرد: در پاندمی کووید۱۹ که همه افکار مردم و کادر درمانی مشغول این بیماری است، این احتمال وجود دارد که تشخیص برخی بیماران مسلول در سایه کرونا مغفول بماند. تنها تفاوت میان سل و کرونا این است که علائم سل ناگهانی و سریع نیست، اما در کرونا علائم به سرعت اتفاق میافتد و بیمار میتواند زمان دقیق آغاز سرفههایش را تخمین بزند. علیرغم موفقیتهای بسیار زیادی که در زمینه کنترل سل داشتیم؛ به طوری که اکنون کمتر از ۱۱ مورد در هر ۱۰۰ هزارنفر جمعیت بیماری سل دارند، اما هیچ استانی در کشور نیست که عاری از سل باشد. بنابراین هنگام شیوع بیماریهای تنفسی به سل نیز باید توجه شود.
وی افزود: در صورتی که فردی پس از شیوع علائم به یاد میآورد که در خانوادهاش بیمار مسلول وجود داشته، بهتر است این احتمال را بدهد که شاید بیماری او نیز سل بوده و به پزشک مراجعه کند؛ بیماری سل به این شکل نیست که به فاصله کمی از برخورد با فرد مبتلا به سل ما هم بیمار شویم. در سلهای خارج ریوی به جز سل حنجره آن هم به دلیل حرکت تارهای صوتی که احتمال انتقال میکروب به بیرون را فراهم میکند، بقیه سلهای خارج ریوی سرایت ندارند. آنچه که سرایت دارد، سل ریوی است که در انتقال این نوع سل نیز نیاز به تماس نزدیک و نسبتا طولانی است. در صورتی که فرد مسلول ریوی تشخیص داده نشده و درمان نشود، میتواند ۱۰ تا ۱۱ نفر از میان اطرافیان خود آلوده کند.
HIV و خطر سل فعال
ناصحی دراینباره ادامه داد: مفهوم ایجاد آلودگی به آن معنا است که میکروب وارد بدن افراد شود. فردی که دچار عفونت سلی شده، نه بیمار است و نه بیماری را به کسی انتقال میدهد؛ زیرا سیستم ایمنی او بلافاصله میکروب را محاصره کرده و به خواب فرو میبرد. البته اگر این افراد که تازه دچار عفونت سل شدهاند به دلایل متعددی دچار ضعف سیستم ایمنی باشند، این میکروب میتواند از حصار سیستم ایمنی خارج شده و پس از تکثیر، بیماری سل فعال را ایجاد کند. یکی از مجموعه عواملی که سبب تضعیف سیستم ایمنی میشود و در نتیجه عفونت سل میتواند به بیماری فعال تبدیل شود، عفونت HIV است. البته عوامل موثر دیگری همچون سوء تغذیه، نارسایی کلیه، اعتیاد، دیابت، استعمال دخانیات، افرادی که دچار سرطان شدند و شیمیدرمانی میشوند، افرادی که پیوند عضو داشتهاند و... نیز در تضعیف سیستم ایمنی بدن موثر است.
وی در ادامه تاکید کرد: حتی ۲۰ تا ۲۵ درصد افراد بدون علامت نیز در زمانی از ابتدای عمر خود دچار عفونت سلی شدهاند ولی بیمار نشدند. تقریبا ۵ تا ۱۰ درصد کسانی دچار عفونت سلی میشوند، ممکن است در زمانی دچار بیماری سل شوند؛ یعنی ۹۰ تا ۹۵ درصد افراد اگر سیستم ایمنی قوی داشته باشند به سل فعال مبتلا نخواهند شد.
سل درمانپذیر است
وی با تاکید بر درمانپذیر بودن بیماری سل، تصریح کرد: البته شرط درمانپذیری آن است که رژیم دارویی همانگونه که پزشک تجویز میکند در دوره کامل خود مصرف شود و بیماری مقاوم نشود. در نظام بهداشتی کشورمان تشخیص و درمان سل رایگان است. علیرغم کاهش آمار نسبت به سالیان گذشته، سل همچنان وجود دارد اما باید بدانیم بیماری درمان پذیری است.
۳ استان رکورددار ابتلا به سل
رئیس اداره کنترل سل و جذام مرکز مدیریت بیماریهای واگیر وزارت بهداشت درخصوص آمار مبتلایان به سل در سال ۱۳۹۸، گفت: سال قبل ۸۰۵۱ مورد مبتلا شناسایی و در سیستم ما ثبت شدهاند؛ این یعنی کمتر از ۱۰ مورد در هر ۱۰۰ هزارنفر مبتلا شدند. از این تعداد ۴۲۱۲ نفر مرد و ۳۵۶۱ نفر نیز خانم بودهاند. همچنان استانهای سیستان و بلوچستان و گلستان در میزان ابتلا در صدر قرار دارند؛ البته رتبه استان گیلان نیز بالا آمده و از نظر استانی رتبه سوم کشور شده است.

نام شما